飞图影像
0.0
2622下载
飞图影像
0.0
2622下载
扫码下载手机版
通过应用宝app下载
预览
简介
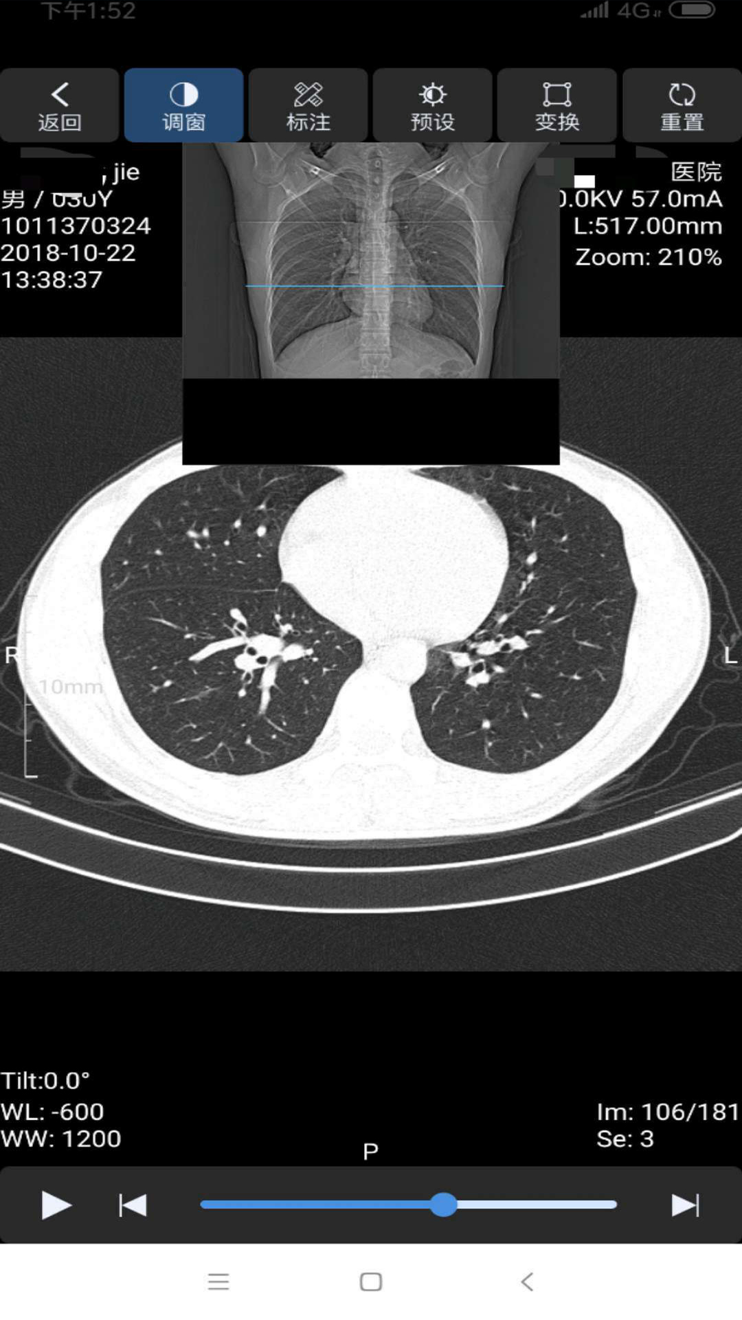
飞图影像APP是飞图影像云平台的移动端管理应用,医生通过此应用,可实现以下功能: - 移动办公——随时随地调阅影像数据,无论在院内还是院外,都可阅片、写报告; - 医疗协作——疑难病例发起协助请求,请求上级医生或专家予以协助,远程诊断; - 交流研讨——与其他医生分享病例,进行专业研讨和学术交流,提升专业技能。 技术特性: - 原始数据,高清影像——DICOM格式,信息细节全保存,精度更高; - 多项功能,强大实用——可实现WL、测量、角度、CT值、旋转等操作; - 使用简便,快速上手——符合医生使用习惯,无需过多繁琐学习过程; - 秒传秒开,顺滑流畅——领先的GPU计算、影像预加载、影像本地保存等技术,拒绝卡顿、模糊、加载等待时间过长; - 多重措施,确保安全——严格审核,二次验证,防止数据被恶意应用;加密传输,防止信息外泄。
详细信息
无病毒
已通过腾讯手机管家、金山手机毒霸检查
无广告
已通过腾讯手机管家、金山手机毒霸检查
腾讯下载
已通过腾讯下载数据审核
开发商
浙江飞图影像科技有限公司
运营商
浙江飞图影像科技有限公司
备案号
浙ICP备17018464号-19A
主办者
浙江飞图影像科技有限公司
更新时间
2026.3.25
版本号
2.19.7
飞图影像
投资有风险,请谨慎选择。

